拔智齿是分次拔的,但有些人为了方便以及避免多受几次痛苦想要一次性拔掉四颗,但其实并不建议的,智齿能不能一次拔掉4颗?智齿没拔干净有事吗?下面八宝网小编就带来介绍。

智齿能不能一次拔掉4颗
一般来说不会所有智齿都需要拔,先和医生确认好需要拔几颗再说,全拔对医生水平也是挑战,不建议太冒险。
如果一侧的上下两个智齿拔除难度都不大,可以同时拔除;
如果一侧下颌智齿拔除难度较大,耗时较长,则不建议同时拔除该侧上颌智齿(一般同侧先拔下颌,后拔上颌);
除非特殊情况(比如全麻下拔智齿),不建议上下四个智齿一起拔除;
一般一侧拔除后1~2周,拔牙伤口完全愈合,局部肿胀完全消退,完全能张大口(上下门牙之间可放置三根指头)后拔除另一侧智齿。
且拔智齿后一周内可能会有面部肿胀,是正常的,智齿该拔还是要尽早拔除哦
智齿没拔干净有事吗
要知道,医生的初心与你是一样一样的,都希望干脆立整的把智齿薅下来,谁也不想把残余牙根留在骨头里。
但拔智齿这个过程,会受到各方面因素的干扰,比如智齿的位置、牙根的数目和形态、距离下颌神经的远近等等。
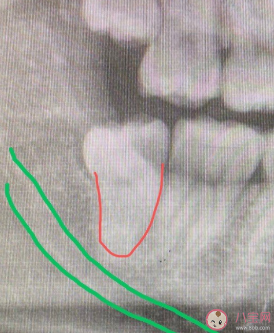
如果说你的智齿是个天性善良,比如下面这个:

这就是一个小可爱,牙根是个锥形,俗称「萝卜根」,医生一拽就出来了,距离绿色的下颌神经管也远远的,遇到这种智齿,往往都是医生患者皆大欢喜的效果。
下面这个就没有这么可爱了:

不仅两个牙根是分开的,而且距离下颌神经管很近,这样拔牙难度就增加了许多。医生需要把智齿分成几小块,再一个一个薅出来。
如果牙根不幸折断(通常小于2 mm),又紧邻神经管,为了保护神经,医生有可能就会不再力求全部拿出来,剩余的一点点就会留在骨头里。
留在骨头里会有什么问题吗?
这与有无局部感染、拔牙创伤大小、牙根长度等等因素相关。
如果说这个断的根位置很深且又细又小(一般又长又粗的牙根很少会断),拔出来反而要再耗费十多分钟,造成的创伤更大,就不会硬取出来。
没有受到污染的牙根留在骨头里,就慢慢和骨头成为一体了,再过十年二十年也不会有啥大变化。
最后再举个反例,像下图这个:

智齿残余部分,体积很大,就是必须要清出来的。一般2mm是个界线,小于2mm我们就Let it go,任这一点点留在骨头里。
我自己这个牙根残留已经有十余年了,啥感觉都没有,也没有传说中的「阴天下雨就会疼」,吃东西还是嘎嘎香。
最后讲一句,医生会提前预估智齿拔除中可能出现的问题,牙根折断的可能性、到底要不要全部拿出来,都会在开始之前进行沟通。
以上就是有关全部内容介绍,想了解更多信息请继续关注。