拔智齿的收费价格参差不齐,有时候相差特别大,很多人就特别不理解,这其实是有些智齿手术比较复杂,拔除难度较大,拔智齿多长时间能恢复?下面八宝网小编就带来介绍。

拔智齿收费价格为什么相差很大
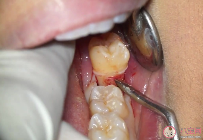
拔一颗智齿究竟要花多少钱?
价格差距非常大,少的只要几十块,多的有四五千元,甚至五六千元。
每个人的智齿的生长是不相同的,也不会在同一时间都长齐。
智齿一旦生长位置出现了偏差,那就是“阻生齿”,其生长位置不对,拔除的难度远远大于一般智齿,但不拔除后患无穷。
正位的智齿,手术也比较简单,费用就比较低;但是有一些智齿是倾斜的,甚至是横着的、水平的,或者是埋在骨头里,埋在牙龈里的,这时候需要切开软组织,去除部分周围骨质;也有一些需要微创手术拔除,尽量少去除骨质,然后把牙齿分成小块,一块一块掏出来,这种手术操作就会相应复杂,价格可能也会相应的提升一些。

拔智齿多长时间能恢复
其实一般要是选择拔智齿大概要一周的时间恢复,不过具体的话要看是上面的智齿还是下面的,还要看智齿长的正不正,还有就是手术的话一定要操作卫生消毒,因此一定要选择去正规医院。
拔完牙后不能吃过热、过硬的东西否则容易破坏血凝块,导致出血,吃冰淇淋可以使血管收缩达到止血的目的,促进血液凝结以及伤口的收缩,同时可以减轻水肿、缓解疼痛,这和拔牙后用冷毛巾外敷是一样的道理。但是要注意,在吃冰激凌时切勿用力吮吸、舔等动作,以口含融化的方式为佳!

拔智齿有最佳时间吗?
怕疼的人,不妨下午再去拔牙,原因是人体的痛觉反应上午比下午敏感,相对来说下午拔牙的疼痛感更轻点。如果在上午拔牙,一定要吃早餐,不能空腹拔牙,以免因紧张导致低血糖反应。
几颗智齿能一次拔完吗?
有人觉得,反正都是痛,干脆一次痛完了拉倒,三四颗智齿一起拔!对此医生表示,智齿至少要分两次拔除,可一次拔除同一侧的上下两颗智齿。根据病人术后疼痛、肿胀及开口受限等反应不同,再确定另一侧智齿什么时候拔。
如果术后反应较重,需要间隔2周;如果反应很轻,可间隔1~2天再拔除;一般来讲,需要间隔1周左右再拔除另一侧。
以上就是有关全部内容介绍,想了解更多信息请继续关注。